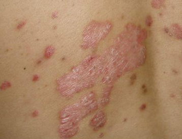
我们应该知道牛皮癣在生活中的危害,这样才能在生活中注意到牛皮癣的发生。
银屑病的发生可能是由于患者生活中的心理因素导致银屑病的复发。 在我们的生活中牛皮癣的发生对患者的容貌影响很大。 牛皮癣的发生会给患者的生活带来焦虑,对我们的生活造成很大的危害。

在我们的生活中,牛皮癣的发生会给患者的生活带来严重的影响。 在我们的生活中,牛皮癣的发生会引起我们心理上的变化。 同时,一些人在日常生活中不了解牛皮癣的病情,在日常生活中存在对牛皮癣患者的歧视。 另外,银屑病的发生对患者的容貌影响很大,在生活中严重影响患者的社交生活。
对于牛皮癣患者,在生活中要注意控制自己的病情。 在我们的生活中,患者应该能够及时诊治牛皮癣。 在我们的生活中患者应该了解牛皮癣的危害做好相关的准备工作。只有这样,才能帮助他们早日远离牛皮癣的危害。
地址:海口市美兰区海府路97号
看诊时间:8:00--21:00。
咨询热线:0898-65340213