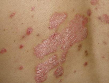
银屑病属于免疫障碍性皮肤病的一种,要是不幸患上身上会出现丑陋的红斑,不管是对患者的外貌还是心理都是很大的打击。而且想要治好也是很难的,很多医院虽然都声称能治好银屑病,其实也就是只能达到暂时的控制病情的作用,要想彻,底还是要去专业的医院。得了银屑病怎么调理?

对于银屑病患者,需要到正规医院检查病情和病因,然后有针对性的诊治是好的。中医除了重视专业诊治外,还非常重视患者的自我保健,这对患者的康复也非常重要。在生活中,银屑病患者更能做到有针对性的护理,尤其是在生活中,他们需要注意自己我们应该摆脱一些不良习惯,提高我们的免疫力另一个时节要预防感冒、扁桃体炎等,这些都会诱发银屑病加重。
除了免疫护理,银屑病患者还需要注意饮食的一个方面在饮食上,银屑病患者不应吃辛辣食物,而可以多吃含有维生素的新鲜蔬菜和水果多吃维生素abc蔬菜的患者可以补充患者的皮肤营养,从而减轻皮肤瘙痒的损害。另外,要注意营养均衡。虽然病人不能吃猪肉、牛肉和羊肉,但他们可以适当地吃一些瘦肉精。对于银屑病患者也需要注意缓解自己的心理压力,增强自己的诊治信心,才能更好地面对。
地址:海口市美兰区海府路97号
看诊时间:8:00--21:00。
咨询热线:0898-65340213