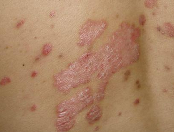
银屑病关节炎的症状非常明显,应及时检查和诊治。可以选择药诊治或日常护理来提高身体的免疫力。 银屑病关节炎患者在疾病诊治过程中要注意个人卫生,平时多注意饮食安排,适当运动对健康也很有好处,平时多注意休息和情绪调理,不要有过多的精神压力,不要经常过度紧张和焦虑,对疾病的辅助诊治都有很好的效果。
1、银屑病关节病的诊治方法很多。可以选择药诊治来缓解病情。如果出现银屑病关节炎,也可以选择口服药来提高人体免疫力。病毒药缓解病情,避免关节损伤。

2、银屑病关节炎患者可以选择用药疗法来调整,或者选择用物理疗法来缓解病情,或者选择用物理疗法来提高身体的免疫力,或者选择用中医的方法来改善身体的疾病 抵抗力强,平时可以适当吃一些蔬菜。
3、银屑病关节炎的症状比较明显。选择使用口服药可以缓解身体不适的症状。也可以配合中药来提高身体的免疫力。 银屑病关节炎的诊治方法比较多,可以选择物理疗法或者物理疗法来提高人体免疫力。
地址:海口市美兰区海府路97号
看诊时间:8:00--21:00。
咨询热线:0898-65340213