银屑病是一种非常常见的皮肤病,会严重影响患者的外观。银屑病也和其他疾病一样,越早接受疗养,效果越好,所以要及时了解银屑病的相关症状,早发现早疗养,才能大限度地减少牛皮癣的危害。银屑病的常见症状有哪些?

1. 瘙痒是银屑病的常见症状。如果是在发作期,皮肤病变的范围会比较大,瘙痒会伴有强烈的烧灼感,即使用抓痒或用药也不能在短时间内解决。瘙痒虽然不会对身体造成实质性损害,但会对患者的生活和工作造成严重影响。银屑病引起的瘙痒在夜间会更加明显,严重影响患者的睡眠质量,进而影响患者的精神状态。
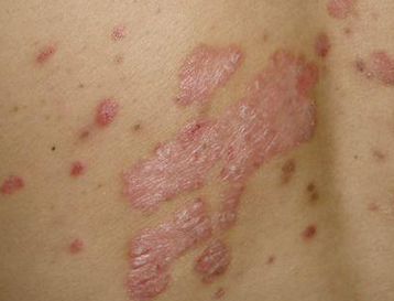
2、尺度变化银屑病还会引起鳞状变化,这是典型的牛皮癣,由皮肤损伤引起。这种变化会随着皮肤干燥而持续恶化,达到一定程度后会形成巨大的银白色斑块,并逐渐变厚脱落。脱落后会出现不同程度的瘙痒,导致银屑病症状反复发作。
海口肤康皮肤医院拥有一支由多名资历深的皮肤科医生组成的专业团队,他们都具备丰富的临床经验和良好的职业素养,在诊断和诊治方面表现出色。医院还注重对患者进行全面的健康教育,帮助患者掌握正确的护理方法和日常生活方式。
地址:海口市美兰区海府路97号
看诊时间:8:00--21:00。
咨询热线:0898-65340213