在线
咨询
免费
预约
海口肤康牛皮癣医院 > 牛皮癣症状 >

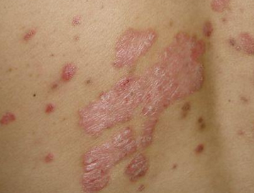
海口主治牛皮癣医院-关节型牛皮癣怎么止疼

文章来源:海口肤康牛皮癣医院 |   电话:0898-65340213
问症状约名医问疗效询费用
  牛皮癣是一种非常难治的皮肤病,而且这种病很容易传播,给患者造成很大的伤害。患者发现病情后,必须到医院诊治。那么如何缓解关节牛皮癣的疼痛呢?
 
  1、牛皮癣患者不宜吃辛辣食物,因为这种食物会影响患者的病情,对患者的诊治有一定的影响,所以患者应该吃一些清淡的食物,患有牛皮癣疾病的患者是不能吃辛辣食物的。
 
  2、患者在患病期间一定要注意饮食的营养,不能吃油炸食品,患病期间也不能抽烟喝酒,刺激患者的皮肤,导致病情加重。
 
 
  3、牛皮癣患者应少吃或不吃海鲜。患病期间,患者应多吃蔬菜和水果,如西红柿、香蕉、草莓等,这些食物含有多种营养成分。对于患者病情的诊治有很大的帮助,可以帮助患者改善病情。
 
  4、牛皮癣患者应多吃富含维生素和矿物质的食物。这些物质可以有效的帮助患者身体补充体内的微量元素,有利于患者的诊治,可以帮助患者改善皮肤的状况。
 
  以上就是专家对“关节牛皮癣如何缓解疼痛”的详细解读。患者无论处于什么季节,都应养成良好的生活习惯,注意个人卫生,避免一些皮肤感染因素。

海口肤康牛皮癣专科

明日剩余 个专家号 申请预约>>

医生团队

  • 杨梅 主任

    杨梅


    点击预约王珍主任的专家号 杨梅,女,执业医师,海口肤康中医皮肤病医院皮肤科主任。1···...【详细】

  • 王珍 主任

    王珍


    王珍,原海南医学院附属医院皮肤科主任医师,副教授。···...【详细】

  • 陈武林 主任

    陈武林


    陈武林 陈武林师承着名的皮肤病医生马东来教授、博导,对皮肤肿瘤、天疱疮、类天疱疮···...【详细】

患者
关注

选择银屑病医院要注意什么

夏天牛皮癣患者需要注意什么

海口哪里有看牛皮癣的医院

【胎记科普】胎记的种类和症状有哪些

在线
咨询
免费
预约
在线咨询 电话咨询
网站首页|牛皮癣治疗|牛皮癣费用|牛皮癣症状 牛皮癣病因|医院新闻|医生团队|来院路线

地址:海口市美兰区海府路97号
看诊时间:8:00--21:00。
咨询热线:0898-65340213