在线
咨询
免费
预约
海口肤康牛皮癣医院 > 牛皮癣症状 >

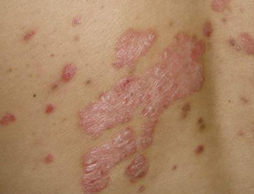
海口治牛皮癣的地方-牛皮癣能恢复吗

文章来源:海口肤康牛皮癣医院 |   电话:0898-65340213
问症状约名医问疗效询费用
  牛皮癣的诊治需要一个长期的过程。许多患者往往渴望成功。当他们看到牛皮癣的治愈效果似乎有所缓解时,他们就放弃了诊治。其实这是对自己不负责任的态度。牛皮癣可以治愈吗?
 
  一般来说,牛皮癣患者需要三个月左右的时间,皮损才会逐渐减少,直到消退。达到临床痊愈的患者,要继续用药控制病情,不要随便换药。这样不但不会减轻病情,反而有可能加重病情,会造成病情延误。
 
 
  银屑病临床痊愈后,其免疫功能、微循环、新陈代谢还没有完全恢复正常,一般需要2-3个月左右才能恢复。因此,待临床痊愈后,即外皮损完全消退后,应继续服用2-3个疗程的药进行巩固,使病毒清除得更彻底,避免复发。
 
  海口肤康医院温馨提示:牛皮癣是一种顽固的皮肤病患者一定要注意坚持诊治,这样对疾病的诊治才能有好的效果在银屑病的诊治过程中,患者一定要注意坚持诊治,千万不要因为力所能及而放弃诊治短时间内看不到诊治效果,对病情非常不利。

海口肤康牛皮癣专科

明日剩余 个专家号 申请预约>>

医生团队

  • 杨梅 主任

    杨梅


    点击预约王珍主任的专家号 杨梅,女,执业医师,海口肤康中医皮肤病医院皮肤科主任。1···...【详细】

  • 王珍 主任

    王珍


    王珍,原海南医学院附属医院皮肤科主任医师,副教授。···...【详细】

  • 陈武林 主任

    陈武林


    陈武林 陈武林师承着名的皮肤病医生马东来教授、博导,对皮肤肿瘤、天疱疮、类天疱疮···...【详细】

患者
关注

【胎记科普】胎记的种类和症状有哪些

海口哪里有看牛皮癣的医院

夏天牛皮癣患者需要注意什么

选择银屑病医院要注意什么

在线
咨询
免费
预约
在线咨询 电话咨询
网站首页|牛皮癣治疗|牛皮癣费用|牛皮癣症状 牛皮癣病因|医院新闻|医生团队|来院路线

地址:海口市美兰区海府路97号
看诊时间:8:00--21:00。
咨询热线:0898-65340213